Erosi Gigi

Erosi Gigi
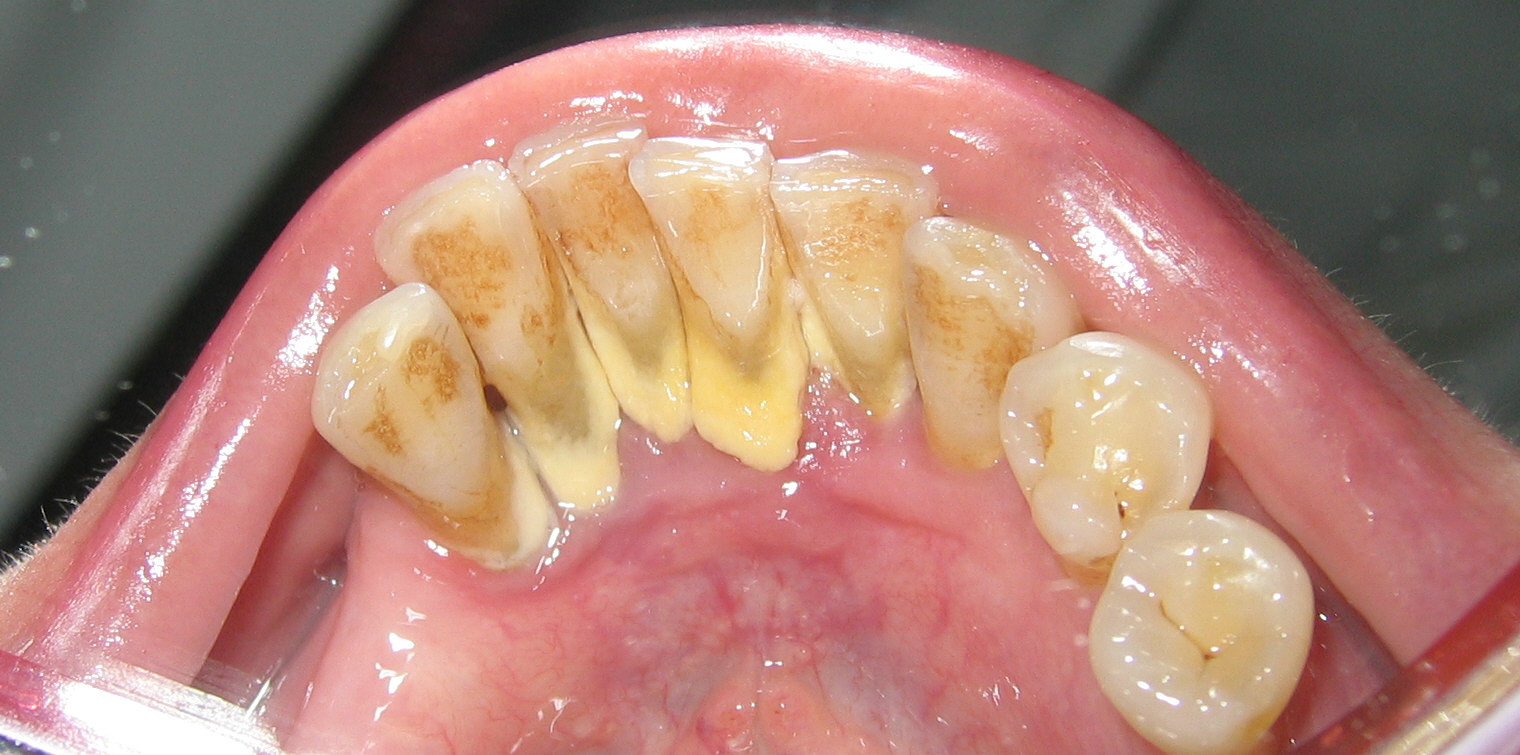
Erosi gigi bisa menyebabkan perubahan warna gigi dan keretakan gigi.

Bagikan :


Definisi

Erosi gigi adalah suatu kondisi terkikisnya lapisan terluar gigi yang disebut enamel yang disebabkan oleh paparan asam dari makanan, minuman, atau asam lambung. Keadaan ini terjadi karena kurangnya kesadaran dan perhatian terhadap kesehatan gigi, yang membuat mereka jarang memeriksakan giginya ke dokter gigi.

Lapisan enamel adalah lapisan dari struktur gigi yang keras dan transparan, memiliki fungsi untuk melindungi dentin (lapisan tengah gigi). Enamel juga berperan sebagai pertahanan pertama gigi terhadap berbagai zat kimia dari makanan dan cairan. Saat dentin terpapar ke lingkungan luar dan tidak terlindung enamel, maka kondisi tersebut bisa menyebabkan timbulnya nyeri pada gigi dan membuat gigi menjadi lebih sensitif.

Erosi gigi banyak ditemukan di seluruh dunia. Enamel gigi yang sudah tererosi tidak dapat kembali seperti semula dan tidak bisa ditumbuhkan kembali, hal ini karena enamel tidak memiliki sel hidup. Akibatnya ketika enamel mengalami kerusakan, lapisan enamel tidak bisa memperbaiki dirinya sendiri. Erosi gigi tidak memerlukan penanganan medis. Namun apabila muncul gejala seperti gigi sensitif atau ngilu, Anda sebaiknya segera berkonsultasi dengan dokter gigi.

 

Penyebab

Proses erosi gigi terjadi dalam waktu lama dan kondisi enamel yang rusak tidak bisa dipulihkan seperti semula. Setiap mengonsumsi atau meminum makanan yang mengandung asam, lapisan enamel pada gigi menjadi lebih lembut dan kehilangan beberapa kandungan mineralnya. Walaupun air liur akan membantu mengembalikan keasaman mulut seperti semula, bila gigi terlalu sering terpapar zat asam, sedikit demi sedikit lapisan enamel akan terus terkikis dan erosi gigi pun bisa terjadi.

Kondisi medis tertentu juga dapat meningkatkan paparan asam pada gigi dan mulut, seperti:

  • Bulimia

Gangguan makan yang ditandai dengan makan berlebihan dan muntah dengan sengaja. Ketika muntah terlalu sering, kandungan asam yang tinggi dalam muntahannya bisa merusak lapisan enamel gigi.

  • Refluks asam lambung (GERD)

Kondisi di mana asam lambung mengalir naik ke atas kerongkongan yang terjadi berulang-kali dapat meningkatkan paparan zat asam di mulut. Saat asam lambung naik, cairan tersebut bisa menyebabkan enamel gigi terkikis.

  • Mulut kering (xerostomia)

Pada kondisi ini, kelenjar liur di mulut tidak menghasilkan air liur yang cukup untuk menjaga agar mulut tidak kering. Rendahnya air liur juga bisa berpengaruh terhadap proses netralisir zat asam di mulut.

 

Kami juga memiliki artikel mengenai bulimia yang bisa Anda baca di sini: Bulimia - Definisi, Penyebab dan Faktor Risiko.

 

Faktor Risiko

Beberapa faktor dapat meningkatkan jumlah asam dalam mulut sehingga dapat meningkatkan risiko terjadinya erosi gigi. Berikut adalah faktor-faktor penyebab erosi gigi yang harus Anda waspadai, yaitu:

  • Konsumsi makanan dan minuman dengan kandungan:
    • Asam yang tinggi, seperti jus jeruk dan lemon.
    • Fosfor dan asam sitrat tinggi seperti soda.
    • Tinggi gula dan pati (starch).
  • Memiliki kondisi medis berikut:
    • Mulut kering
    • Stres
    • Diabetes
    • Refluks asam lambung
    • Penyakit genetik yang memengaruhi perkembangan gigi
    • Menggunakan obat-obatan antihistamin dan aspirin secara rutin
  • Memiliki kebiasaan menggeretakkan dan menggesekkan gigi.

 

Bila Anda tertarik, Anda bisa membaca artikel mengenai refluks asam lambung di sini: GERD - Definisi, Penyebab dan Faktor Risiko.

 

Gejala

Gejala dari erosi gigi bisa beragam tergantung tingkat keparahannya, seperti:

  • Terjadi perubahan warna gigi menjadi lebih kuning dan gelap akibat tereksposnya lapisan dentin.
  • Bagian tepi gigi akan menjadi lebih keras dan memiliki pola yang tidak beraturan.
  • Terjadi keretakan gigi.

Jika kondisi semakin parah, keluhan yang bisa timbul akibat erosi gigi adalah:

  • Gigi menjadi lebih sensitif saat mengonsumsi makanan atau minuman dingin, panas, manis, pedas atau asam.
  • Terdapat bintik yang mengilap pada gigi.
  • Nyeri pada gigi.
  • Terjadinya peningkatan kerusakan gigi
  • Gigi akan tampak jelas, terlihat lebih kasar dan lebih transparan.
  • Gigi bisa patah.

 

Diagnosis

Dokter dapat mendiagnosis kondisi ini dengan melakukan wawancara mengenai:

  • Gejala dan keluhan yang dialami.
  • Kondisi medis lain yang dapat menyebabkan erosi gigi.
  • Kebiasaan konsumsi makanan dan minuman yang dikonsumsi sehari-hari.

Setelah itu, dokter akan melakukan pemeriksaan gigi dan mulut untuk mencari tanda-tanda erosi pada gigi.

 

Tata Laksana

Tata laksana pada gigi yang mengalami erosi umumnya akan tergantung dari tingkat keparahan penyakit dan seberapa lama pasien sudah mengalami kondisi tersebut. Erosi gigi bisa ditangani dengan perawatan rumahan dan tindakan medis.

Erosi gigi yang belum tergolong berat masih bisa ditambal, agar lapisan dentin yang terekspos bisa ditutup. Terapi ini dapat menghilangkan rasa nyeri yang dirasakan karena terpaparnya lapisan dentin. Perawatan veneer juga dapat dilakukan untuk melindungi gigi dari kerusakan yang parah. Prosedur ini bertujuan untuk melapisi enamel yang sudah rusak sehingga gigi yang sebelumnya terkikis kembali terlindungi.

Apabila gigi mengalami erosi yang cukup parah, dokter gigi bisa menyarankan untuk melakukan prosedur pemasangan crown (mahkota gigi) untuk melindungi gigi dari kerusakan lebih lanjut. Jika erosi gigi tidak dirawat dengan baik, kondisi tersebut dapat menyebabkan komplikasi seperti hilangnya permukaan gigi secara progresif.

Perawatan rumahan dapat Anda lakukan untuk meringankan rasa sakit pada gigi adalah:

  • Berkumur dengan air hangat setelah makan untuk mengeluarkan sisa makanan yang tersangkut pada lubang atau sela gigi.
  • Melakukan flossing untuk mengeluarkan makanan yang tersangkut pada sela gigi.
  • Minum obat pereda nyeri sesuai rekomendasi dokter.

Perlu diingat, hal-hal di atas hanya bertujuan untuk meredakan nyeri gigi dan mencegah agar erosi gigi tidak semakin memburuk. Segera konsultasikan ke dokter jika rasa nyeri yang Anda rasakan tidak kunjung hilang. 

 

Komplikasi

Erosi gigi membuat Anda rentan terhadap karies atau gigi berlubang. Jika hanya terjadi lubang kecil, kondisi ini mungkin tidak menimbulkan masalah yang besar. Namun, jika terjadi infeksi pada gigi yang berlubang, ada risiko pembentukan kantung atau benjolan yang berisi nanah pada gigi (abses gigi).

Kondisi ini dapat menyebabkan komplikasi yang lebih serius, seperti:

  • Penyebaran infeksi hingga wajah dan leher.
  • Terjadi peradangan pada lapisan bagian dalam jantung.
  • Terjadi peradangan pada selaput otak atau meningitis.

 

Pencegahan

Anda dapat mengurangi risiko mengalami erosi gigi dengan cara mengurangi konsumsi makanan dan minuman yang asam. Jangan sering mengonsumsi makanan ringan, Hal ini dapat menyebabkan mulut menjadi asam dalam hitungan jam setelah mengonsumsi makanan tinggi gula. Minum air putih yang cukup untuk mengindari kondisi mulut kering.

Setelah makan, Anda bisa mengunyah permen karet bebas gula yang dapat membantu meningkatkan produksi liur. Air liur bisa membersihkan asam yang terbentuk di mulut setelah makan. Tunggu setidaknya satu jam setelah mengonsumsi makanan atau minuman asam sebelum menyikat gigi. Hal ini dapat memberi waktu pada gigi untuk membangun kembali kandungan mineralnya. Rutinkan kebiasaan flossing dengan dental floss untuk membersihkan sela-sela gigi dari sisa makanan.

Gosok gigi dengan benar dan rutin dua kali sehari dengan pasta gigi yang mengandung fluoride. Senyawa ini dapat menguatkan gigi, sehingga bisa membantu dalam mencegah erosi gigi. Sebaiknya gunakan sikat gigi dengan tipe kepala kecil dan bulu yang halus. 

 

Kapan Harus ke Dokter?

Segera kunjungi dokter gigi apabila Anda mengalami tanda atau gejala erosi gigi yang telah disebutkan di atas.

Selain itu, jangan lupa untuk menjaga kesehatan gigi dan mulut Anda dapat melakukan pemeriksaan gigi secara rutin ke dokter gigi setiap enam bulan sekali. Dengan begitu, masalah pada gigi bisa dideteksi dan ditangani sesegera mungkin.

 

Mau tahu informasi seputar penyakit lainnya? Cek di sini, ya!

 

 

Writer : dr Dapa Hayarosa
Editor :
  • dr Hanifa Rahma
Last Updated : Rabu, 3 September 2025 | 12:10

J Esthet Restor Dent (2021). Contemporary diagnosis and management of dental erosion. Retrieved 13 Januari 2023, from https://pubmed.ncbi.nlm.nih.gov/33410255/.

Dental erosion (2021). Oral Health Foundation. Retrieved 13 Januari 2023, from https://www.dentalhealth.org/dental-erosion.

Enamel Erosion (2022). Healthline. Retrieved 13 Januari 2023, from https://www.healthline.com/health/enamel-erosion#causes.