Tuberkulosis Miliaria

Tuberkulosis Miliaria
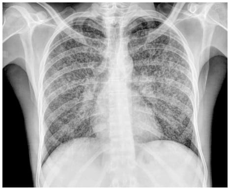
Gambaran bercak putih pada seluruh paru dalam pemeriksaan rontgen dada.

Bagikan :


Definisi

Tuberkulosis adalah sebuah infeksi yang sering menyerang paru-paru. Pada tuberkulosis miliaria, infeksi bakteri telah menyebar ke seluruh tubuh melalui aliran darah dan dapat menyerang berbagai organ. Sebelum era antibiotik, tuberkulosis miliaria hanya menyerang bayi dan anak. Namun, saat ini, tuberkulosis miliaria banyak terjadi pada kalangan remaja dan dewasa muda serta orang lanjut usia. Laki-laki sedikit lebih banyak mengalami hal ini dibandingkan dengan perempuan.

 

Penyebab

Tuberkulosis miliaria disebabkan oleh bakteri Mycobacterium tuberculosis. Bakteri ini memiliki dinding sel yang mengandung asam, sehingga akan lebih mudah terlihat setelah pemeriksaan basil tahan asam (BTA). Manusia merupakan inang utamanya. Penyakit ini pada umumnya menular lewat udara dan cairan yang keluar saat batuk atau bersin. Bakteri ini dapat bertahan di udara dalam beberapa jam.

Jika Anda memiliki bakteri tuberkulosis dalam tubuh Anda, sistem pertahanan tubuh yang baik dapat melawan bakteri tersebut sehingga bakterinya tidak akan aktif. Kondisi ini disebut sebagai tuberkulosis laten. Tuberkulosis laten tidak menimbulkan gejala dan tidak menular. Namun, jika sistem pertahanan tubuh Anda lemah, bakteri tersebut bisa aktif menyerang tubuh, sehingga tuberkulosis laten dapat menjadi tuberkulosis aktif yang bergejala dan dapat menular.

 

Faktor Risiko

Sampai tahun 1980-an, tuberkulosis miliaria lebih banyak ditemukan pada bayi dan anak. Namun saat ini, penyakit ini juga banyak ditemukan pada orang dewasa. Hal ini terjadi karena adanya penurunan sistem pertahanan tubuh pada orang dewasa yang bisa disebabkan oleh berbagai hal, seperti:

  • HIV/AIDS
  • Konsumsi alkohol berlebih
  • Gizi buruk
  • Gagal ginjal kronik
  • Diabetes
  • Kanker pada paru-paru, leher, atau kepala
  • Hamil atau baru saja melahirkan
  • Cuci darah (dialisis) jangka panjang

Selain itu, penggunaan obat-obatan penurun sistem pertahanan tubuh juga dapat menyebabkan tuberkulosis miliaria terjadi. Obat-obatan ini biasa digunakan pada pasien yang baru saja menjalani cangkok organ, kanker, atau penyakit autoimun (kondisi dimana sistem pertahanan tubuh menyerang diri sendiri).

 

Gejala

Pasien tuberkulosis milaria dapat merasakan gejala yang semakin memburuk dalam beberapa bulan. Gejala ini dapat berupa kelemahan, penurunan berat badan, dan nyeri kepala. Namun, gejala tambahan dapat pula muncul sebagai penanda infeksi tuberkulosis milaria, yaitu:

  • Demam yang tidak terlalu tinggi
  • Batuk
  • Pembesaran kelenjar getah bening di berbagai bagian tubuh
  • Pembesaran organ hati (liver) atau limpa
  • Radang pankreas (pankreatitis)
  • Masalah fungsi organ tubuh, seperti masalah pada kelenjar anak ginjal (adrenal)

 

Diagnosis

Diagnosis tuberkulosis miliaria mirip dengan penyakit lainnya, dan bakterinya pun seringkali sulit untuk ditemukan pada sampel organ tubuh. Dokter biasanya akan menanyakan keluhan dan riwayat penyakit Anda. Tes darah lengkap dapat dilakukan untuk membantu diagnosis penyakit, karena dapat mendeteksi adanya infeksi. Anda dapat menjalani beberapa pemeriksaan untuk menentukan diagnosis tuberkulosis miliaria, seperti yang bisa Anda lihat di bawah ini.

 

Pemeriksaan Tuberkulosis

Pemeriksaan tes tuberkulin dilakukan dengan menyuntikkan protein ke dalam kulit untuk melihat reaksi pertahanan tubuh. Jika seseorang sudah pernah terapapar tuberkulosis sebelumnya (terlepas dari ada tidaknya gejala), tes ini akan memberikan hasil positif. Jika sistem pertahanan Anda buruk, tes ini dapat menunjukkan hasil negatif meskipun Anda sedang mengalami tuberkulosis aktif.

Pemeriksaan lainnya yang bisa dilakukan adalah pemeriksaan sampel dahak. Bila Anda batuk, sampel dahak Anda bisa diperiksa untuk dilakukan pemeriksaan BTA (basil tahan asam), dimana keberadaan bakteri akan dilihat menggunakan mikroskop. 

 

Pemeriksaan Pencitraan

Selain itu, pemeriksaan lainnya dapat berupa rontgen dada. Sesuai dengan namanya, tuberkulosis miliaria berwujud seperti bintik-bintik pada paru. Dokter juga dapat melakukan pemeriksaan computed tomography scan (CT scan) untuk melihat gambaran penyakit pada paru dengan lebih detil.

Pada fasilitas kesehatan yang sangat memadai, pemeriksaan bronkoskopi juga dapat dilakukan. Pemeriksaan ini menggunakan selang yang dimasukkan lewat hidung atau mulut untuk melihat bagian dalam saluran pernapasan dan mengambil sampel jaringan untuk diamati di bawah mikroskop.

 

Selain itu, penyakit tuberkulosis miliaria dapat menyerang berbagai organ tubuh lainnya, sehingga pemeriksaan lainnya dapat pula dilakukan, seperti:

  • CT scan pada berbagai bagian tubuh, misalnya seperti usus
  • Magnetic resonance imaging (MRI) untuk mencari infeksi pada otak dan sumsum tulang belakang
  • Ekokardiogram untuk mencari infeksi pada cairan dan area sekitar jantung
  • Sampel kencing untuk melihat adanya bakteri
  • Biopsi (pengambilan jaringan) pada sumsum tulang dengan menggunakan jarum khusus
  • Biopsi pada jaringan yang diduga terjangkit tuberkulosis
  • Pungsi lumbal atau pengambilan cairan dekat sumsum tulang belakang dan otak untuk melihat bila ada infeksi pada otak
  • Torakosentesis atau pengambilan cairan di dekat paru untuk mencari adanya bakteri

 

Tata Laksana

Penanganan tuberkulosis miliaria sama dengan penanganan tuberkulosis lainnya. Terapi yang diberikan melibatkan beberapa antibiotik sekaligus. Obat-obatan yang biasa digunakan adalah rifampisin, isoniazid, pirazinamid, dan etambutol. Kadang-kadang, streptomisin suntik juga dapat digunakan. Antibiotik lainnya dapat digunakan apabila TCM atau kultur bakteri pada pasien menunjukkan adanya kekebalan bakteri terhadap antibiotik tertentu.

Penanganan dengan antibiotik ini memiliki dua fase, yaitu:

1. Fase intensif 

Fase ini bertujuan untuk menurunkan kadar bakteri Mycobacterium tuberculosis secara cepat. Biasanya, obat yang diberikan adalah rifampisin, isoniazid, pirazinamid, etambutol, dan kadang ditambah dengan streptomisin. Obat-obatan ini diberikan setiap hari selama 2 bulan berturut-turut.

2. Fase lanjutan

Fase ini bertujuan untuk membasmi bakteri tuberkulosis secara tuntas dari dalam tubuh. Obat-obatan ini dapat diberikan setiap hari atau tiga kali seminggu selama 4 bulan berturut-turut. Fase lanjutan juga bisa lebih panjang sekitar 9-12 bulan, terutama pada tuberkulosis miliaria.

 

Untuk mengatasi tuberkulosis miliaria, penderita harus menaati aturan minum obat sesuai waktu yang dianjurkan dokter. Hal ini membutuhkan komitmen dan kepatuhan yang tinggi dari penderita. Oleh karena itu, orang terdekat penderita dapat bekerja sama dengan tenaga kesehatan untuk menjadi pengawas minum obat (PMO). Seorang PMO bertugas untuk mengawasi penderita terkait konsumsi obat-obatan, agar obat yang diberikan tepat dosis, tepat waktu, dan tidak dimuntahkan kembali.

Obat-obatan ini dapat memberikan efek samping, mulai dari efek samping yang ringan antara lain:

  • Kencing berwarna merah (namun tidak berbahaya)
  • Mual

Hingga efek samping berat seperti:

  • Hepatitis (peradangan pada hati)
  • Alergi
  • Masalah saraf, dan sebagainya

Jika Anda mengalami efek samping, Anda dapat berkonsultasi kepada dokter yang merawat Anda terkait konsumsi obat-obatan tersebut. Selain antibiotik, Anda juga akan mendapat obat steroid, terutama apabila ada keterlibatan infeksi pada otak dan jantung. Pembedahan juga dapat dilakukan jika terdapat kantong berisi nanah (abses) yang butuh dioperasi agar tidak meluas.

 

Komplikasi

Tuberkulosis miliaria sangat berbahaya dan dapat menyebabkan kematian jika tidak segera ditangani. Keterlambatan pemberian obat dapat menyebabkan komplikasi sebagai berikut:

  • Distres pernapasan akut (sesak napas yang parah, hampir menuju gagal napas)
  • Gangguan fungsi banyak organ
  • Adanya udara pada bagian rongga dada yang seharusnya tidak berisi udara, seperti:
    • Pneumotoraks (udara pada rongga antara paru dengan dinding dada), atau;
    • Pneumomediastinum (udara pada rongga dada yang berisi jantung, pembuluh darah, dan sebagainya)
  • Peningkatan jumlah cairan pada selaput jantung serta peradangan pada selaput tersebut (perikarditis)
  • Gejala semakin parah setelah pemberian obat HIV/AIDS aktif (immune reconstitution inflammatory syndrome, IRIS)
  • Peradangan pada otot jantung (miokarditis)
  • Masalah pada katup jantung
  • Pelebaran pembuluh nadi terbesar (aorta) yang membuat dindingnya menipis (aneurisma)
  • Radang selaput otak dengan gangguan saraf tertentu
  • Peradangan pada ginjal (glomerulonefritis)
  • Rendahnya produksi sel darah putih dan tanda-tanda penggumpalan darah yang menyebar di seluruh tubuh (disseminated intravascular coagulation, DIC)

 

Pencegahan

Pencegahan tuberkulosis miliaria dapat berupa:

1. Imunisasi Bacillus Calmette-Guerrin (BCG)

Imunisasi ini dapat dilakukan pada bayi baru lahir hingga berusia 2 bulan. Imunisasi ini bertujuan untuk menyuntikkan bakteri tuberkulosis yang dilemahkan ke bawah kulit, sehingga respon pertahanan tubuh akan melatih diri untuk melawan bakteri tersebut. Imunisasi ini tidak efektif apabila diberikan pada anak berusia di atas 2 bulan.

2. Penapisan tuberkulosis

Penapisan dapat dilakukan dengan skrining gejala tuberkulosis. Identifikasi, pemisahan, dan tata laksana bagi penderita tuberkulosis dapat mencegah orang lain tertular, termasuk orang dengan masalah sistem pertahanan tubuh.

3. Penanganan masalah sistem pertahanan tubuh

Jika Anda memiliki HIV/AIDS atau diabetes, Anda perlu berobat secara rutin untuk memastikan kadar pertahanan tubuh Anda cukup untuk melawan bakteri tuberkulosis. Pada pasien diabetes, kontrol gula darah sangat penting untuk mencegah penyebaran infeksi tuberkulosis ke seluruh tubuh, termasuk tuberkulosis miliaria. Apabila Anda mengonsumsi obat-obatan penurun sistem pertahanan tubuh, dokter dapat melakukan pencegahan tuberkulosis miliaria dengan pemberian antibiotik.

 

Kapan Harus ke Dokter?

Jika Anda memiliki riwayat penyakit yang menurunkan sistem pertahanan tubuh, atau mengonsumsi obat-obatan untuk menurunkan sistem tersebut, Anda akan dicek secara berkala untuk memastikan tidak ada tuberkulosis. Tanda-tanda tuberkulosis miliaria sendiri mirip dengan tuberkulosis paru, namun dapat menyerang organ lainnya. Tuberkulosis miliaria dapat berakibat fatal jika tidak segera diobati, sehingga Anda perlu berkonsultasi kepada dokter apabila mengalami gejala seperti di atas.

 

Mau tahu informasi seputar penyakit lainnya? Cek di sini, ya!

 

 

Writer : dr Teresia Putri
Editor :
  • dr Hanifa Rahma
Last Updated : Minggu, 23 Februari 2025 | 23:30

Lessnau, K., & Herchline, T. (2019). Miliary Tuberculosis: Overview of Miliary Tuberculosis, Pathophysiology of Miliary TB, Etiology of Miliary TB. Emedicine.medscape.com. Retrieved 12 June 2022, from https://emedicine.medscape.com/article/221777-overview.

Murrell, D. (2018). Miliary TB: Differential Diagnosis, Vs. Pulmonary Tuberculosis, More. Healthline. Retrieved 12 June 2022, from https://www.healthline.com/health/miliary-tuberculosis.

Vohra, S., & Dhaliwal, H. (2022). Miliary Tuberculosis. Ncbi.nlm.nih.gov. Retrieved 12 June 2022, from https://www.ncbi.nlm.nih.gov/books/NBK562300/.